
What are dark triangles?
Dark triangles, also known as open gingival embrasures, are the dark spaces in between your teeth, just above your gum. They can give the appearance of a dark triangle or gaps between the teeth.
What causes them?
They can be caused from a variety of things:
- Gum disease can cause the loss of bone and gingival tissue resulting in recession, causing spacing/ black triangles developing in between the teeth.
- Hard brushing can cause gingival tissue loss in between your teeth and thus create black triangles
- During orthodontic treatment, teeth that were once crowded will become straightened, resulting in a different contact between the teeth. This new contact can sometimes be premature or uneven resulting in spacing towards the gingival third of the teeth. As well, areas where gingival tissue loss has occurred previously but may not have been noticeable due to crowded teeth, is now more visible due to aligned teeth.
- It is common as we age that our gingival tissues do recede which is why it is more common to see black triangles in older patients.
- For some people, it may be caused due to the natural shape of their teeth. If the tooth is wider at the biting edge compared to near the gum, then dark triangles can be present.
Should I be worried or concerned about them?
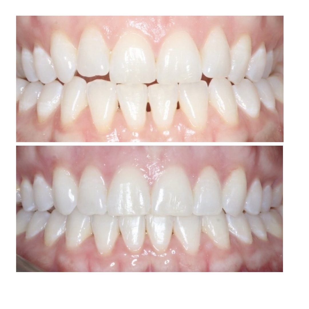
The biggest concerns with black or dark triangles is oral hygiene and aesthetics. Maintaining adequate oral hygiene in these areas can be tricky for some patients. Your dentist, oral health therapist or orthodontist are able to show you the best tools and techniques to use. Another big concern for patients, is aesthetic concerns with dark triangles. During orthodontic treatment, most black triangles are able to be reduced by adjusting the edge of the teeth and make them more parallel and less triangular. In some cases there may be some residual small dark triangles remaining.
How can you get rid of them?
- During orthodontic treatment IPR or polishing in between your teeth, removes any premature contacts and allows teeth to touch more evenly. Thus, reducing the size of the black triangle in between teeth. This process should not cause sensitivity as it is very minimal and done conservatively.
- Composite filling material can be added by your general dentist to recontour between the teeth, which can improve the aesthetic appearance of dark triangles.
If you have any concerns, speaking to your orthodontist or general dentist about this is recommended.
